More on Our TODAY TEETH

If you're missing one or more teeth, you may find that there are other things you miss. You may wish for your natural smile and the ability to chew the food you desire. Maybe you feel self-conscious about your teeth and mouth, or discomfort as remaining teeth shift. And perhaps you've experienced muscle strains, an inability to speak clearly, headaches or unease in familiar situations at work, with friends or at home.


The effect of tooth loss varies from person to person and depends on what exactly has been lost. If the crown has been lost then so has the visible part of the tooth. If the root is lost as well, you have lost the unseen part of the tooth. The root anchors the tooth in the jawbone, providing stable support for the crown. Without the root, the bone around the lost tooth may gradually shrink or atrophy, and the remaining teeth may shift and chewing may become more difficult with time.

Occasionally, older patients express concern that their age may prevent them from the benefits that dental implants offer. However, health is more of a determining factor than age. If you're healthy enough to have a tooth extracted, you're probably healthy enough to receive dental implants, and you're never too old to have a beautiful smile.


If you are not a candidate for dental implants, Dr Hamblin can make beautiful custom dentures that can help you look younger. There are a number of ways to replace tooth crowns. But if you are forced to replace your entire tooth - crown and root - the best option is dental implants. The older techniques associated with dental implants generally require anywhere from five months to two years to complete.


Dr. Scott Hamblin of HAMBLIN DENTAL - IMPLANT & AESTHETIC has perfected the protocol that enables patients to literally have TODAY TEETH and is an implant specialist. As Dr. Hamblin explains, with the TODAY TEETH dental implant protocol, not only do patients get their new teeth at once, they have more natural looking teeth and gums than one could have imagined. Placing the tooth immediately has many advantages over implant procedures that only permits delayed tooth placement. For instance, delayed placement of a tooth allows the surrounding gums and bone tissues to shrink. Later, when a dentist then attempts to implant the tooth, the gums may have receded so far as to create an unnatural looking gum line or there may be inadequate bone remaining.

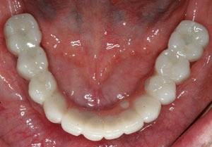
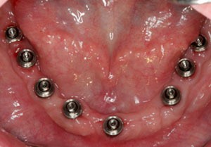
Full Lower Bridge supported by 8 implants. It's like having your entire jaw of teeth back!


Other advantages of this cutting edge technology include: dramatic reduction in treatment time and the number of appointments, immediate full function of the new tooth, a natural cosmetic look and very little discomfort. In fact, some people have reported almost no pain at all. Typically, dental implants are allowed to heal for twelve weeks to six or more months before they are used to support new teeth.


The TODAY TEETH Method can often be used to replace a single tooth, several teeth, or a full mouth of teeth, upper or lower, with remarkable comfort, predictability and aesthetics. Other procedures like extractions can also be accomplished at the same time as well. As Dr. Hamblin reports, "it is possible to walk into the treatment center missing one tooth or a whole mouthful of teeth, and leave with a completely new set of teeth that are firmly anchored-not dentures or removable temporaries." "While extraction, implant placement and restoration may seem like extensive treatment for a patient to go through in one day, patients respond very favorably with little discomfort, swelling or disruption in their daily schedules." Says Dr. Hamblin on teeth in a day in Sandy Utah.


Patients who have undergone the procedure rarely take more than over-the-counter pain medication for a few days afterward. Also, they report a dramatic improvement in aesthetics, chewing ability, security and overall dental comfort as compared to failing teeth or loose irritating dentures. If you are missing one or more of your teeth due to injury, disease, or decay you may be a candidate for Dr Hamblins TODAY TEETH dental implants.